News

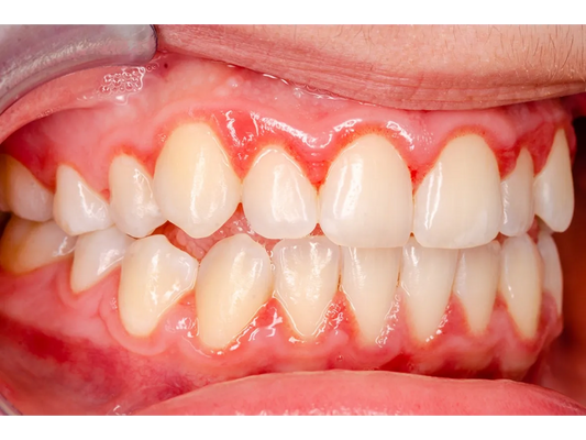
Gingivitis
Gingivitis is a non-destructive disease that causes inflammation of the gums. The most common form of gingivitis, and the most common form of periodontal disease overall, is in response to bacterial...
Gingivitis
Gingivitis is a non-destructive disease that causes inflammation of the gums. The most common form of gingivitis, and the most common form of periodontal disease overall, is in response to bacterial...

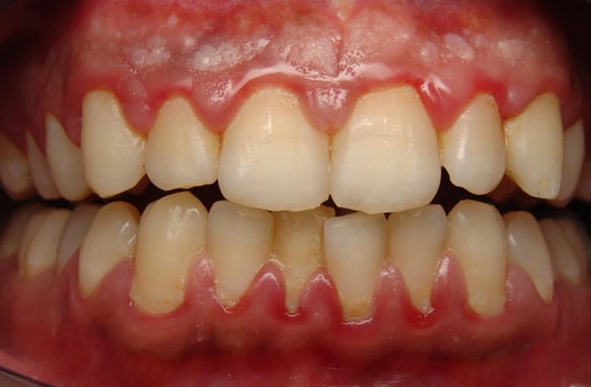
Periodontal Disease
Periodontal disease, also known as gum disease, is a set of inflammatory conditions affecting the tissues surrounding the teeth. In its early stage, called gingivitis, the gums become swollen and red...
Periodontal Disease
Periodontal disease, also known as gum disease, is a set of inflammatory conditions affecting the tissues surrounding the teeth. In its early stage, called gingivitis, the gums become swollen and red...

Deep Cleaning VS Regular Cleaning
Regular cleaning is done to maintain the cleanliness of the teeth to prevent cavities and keep off gum diseases. The tartar removed has not quite invaded the gums and is...
Deep Cleaning VS Regular Cleaning
Regular cleaning is done to maintain the cleanliness of the teeth to prevent cavities and keep off gum diseases. The tartar removed has not quite invaded the gums and is...